*The images shown in our Smile Gallery are examples of dental treatments provided at our practice. Individual results will vary depending on each patient’s dental needs and circumstances.
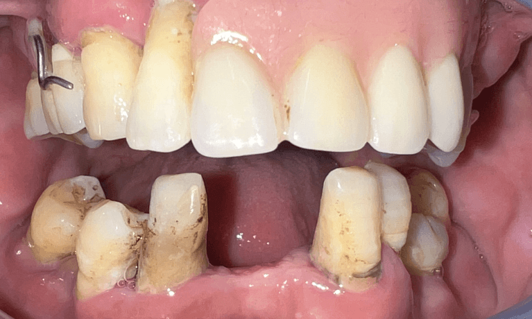
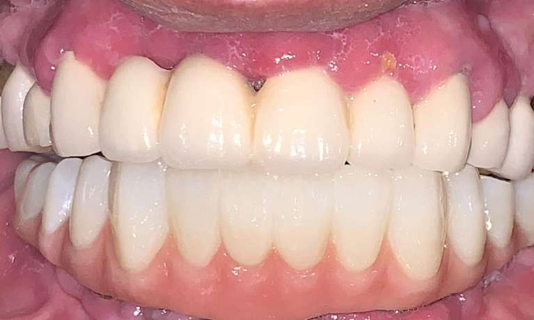
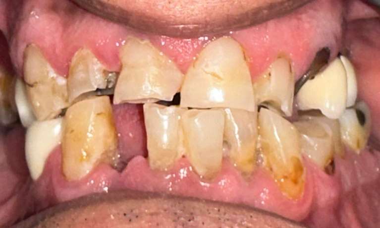
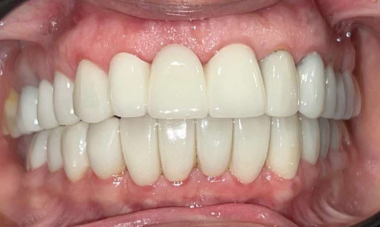
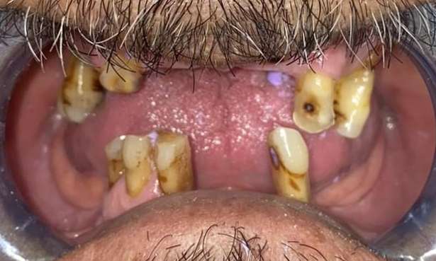
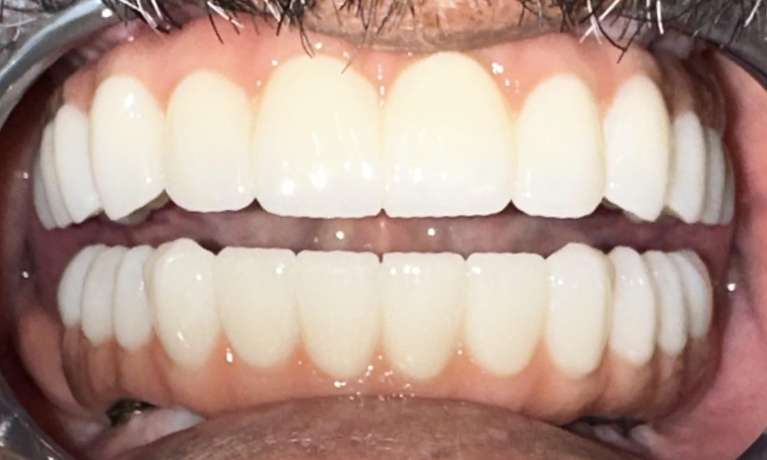
Explore our smile gallery to view clinical examples of dental treatments performed by Dr Elie Alam and the team at our Parramatta practice. These images illustrate various restorative and cosmetic dental options, ranging from minor enhancements to more complex reconstructions. We focus on utilising modern dental equipment and gentle techniques to support our patients' oral health goals.
*The images shown in our Smile Gallery are examples of dental treatments provided at our practice. Individual results will vary depending on each patient's dental needs and circumstances.