Your Journey to a Perfect Smile: The Painfree Dentistry Difference

If you are thinking about having cosmetic dentistry, you will already have some issues which you feel need addressing. When you visit Dr Alam, discuss any problems that you feel you have. This way we can collaborate with you and work with you to ensure your finished smile is perfect.
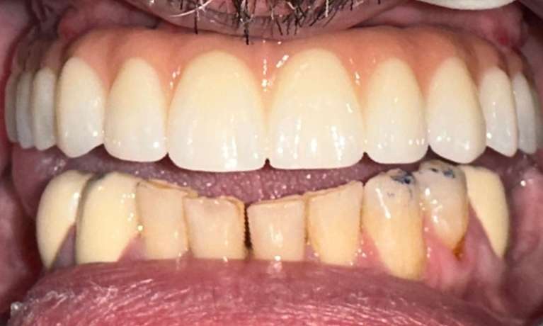
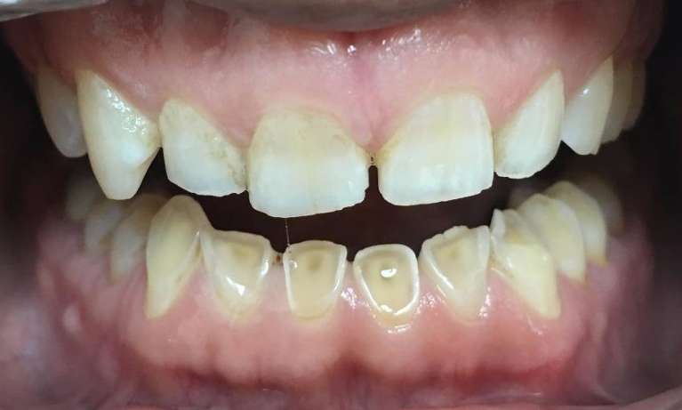
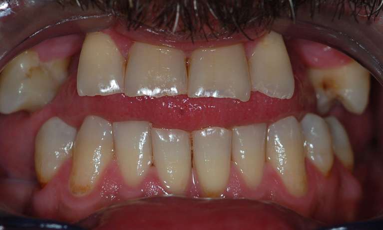
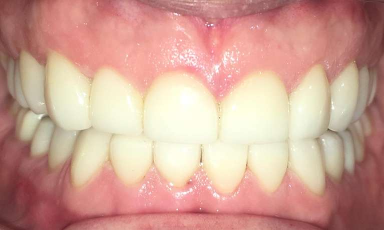
When you begin your journey, the dental team will perform a smile analysis and tell you what issues and solutions there are. The outcome of the analysis will determine how many procedures you will need. Pictures will be taken throughout the process so you can see the progression and changes.
After your makeover is complete, our dentists will guide you on how to take care of your new smile, we will discuss the makeover every step of the way and answer any questions you have.
Personalised Procedures for Your Parramatta Smile Makeover
Every patient's smile is unique, which means every full smile makeover plan is, too. Our experienced cosmetic dentists in Parramatta will discuss a range of advanced procedures to help you improve your facial appearance and achieve your dream smile. Your customised treatment plan could include a combination of the following:
- Teeth Whitening: Teeth whitening is a popular treatment; it is a safe way to clean stains off the teeth
- Clear Aligners: Aligners are used to straighten teeth for a beautiful smile. Clear aligners look almost invisible
- Dental Implants: Dental implants are the most natural-looking way to replace missing teeth. These also stop bone loss as the implant has a root. Implants maintain your face shape and will give you a complete smile.
- Dentures: Even though dentures do not look as natural as implants, dentures are a great way to fill in missing gaps
- Dental Veneers: Dental veneers are custom-made and cover the front of your teeth to hide stains, close gaps, and more.
- Tooth-Coloured Fillings: Filings can now be matched to the colour of your natural teeth.
- Dental Bonding: Dental bonding is a procedure that reshapes front teeth that are chipped or abnormally shaped.
Often, a combination of these treatments is needed to sculpt your perfect smile, and our team is here to guide you through every option.
